卑诗省温哥华、
素里的正畸专家 

牙套治疗、Invisalign隐适美和正畸治疗专家。 

为什么选择我们?

PacificWest牙科集团拥有30年以上的正畸治疗经验,汪醫生和李醫生是齒額矯正和牙颌面正畸学领域的认证专家,为患者提供卓越的治疗服务。

在PacificWest牙科集团,我們的正畸专科医生以专业热忱和周到服务为患者提供舒适体验,倾听并解答您的每個问题。
通过在现代、专业的环境中提供优质的正畸护理,我们实现了最高水平的患者健康和满意度。我们也为社区作出了积极贡献。 

30年来持续助

力社区发展

自1994年起,PacificWest牙科集团致力于为Little Mountain和Surrey Newton社区提供服务,已有30年历史。我们拥有丰富的经验和专业知识,医生团队帮助众多患者重拾自信的笑容。我们不仅为患者提供优质服务,更以回馈社区为傲。从培训新一代牙医和正畸医生到支持在地的Food Bank,我们持续助力社区发展,引以为豪。 

患者赞誉

我们在Google上拥有400多条5星好评。 

Jonah Lalog
Jonah Lalog
Read More
“Still learning the names of the staff here, but for the 2 visits we've had, they've been very friendly and accommodating to all our questions and concerns. They've also been able to clearly answer our concerns about the process and instructions on our daughter's invisalign treatment.”
Jonah Lalog
Jonah Lalog
Read More
“Still learning the names of the staff here, but for the 2 visits we've had, they've been very friendly and accommodating to all our questions and concerns. They've also been able to clearly answer our concerns about the process and instructions on our daughter's invisalign treatment.”
Jonah Lalog
Jonah Lalog
Read More
“Still learning the names of the staff here, but for the 2 visits we've had, they've been very friendly and accommodating to all our questions and concerns. They've also been able to clearly answer our concerns about the process and instructions on our daughter's invisalign treatment.”

专业正畸服务,让您重拾信心

患者的健康及满意是我们奋斗的目标,我们也致力于为所在社区做出积极贡献。

为此,我们奉行以下四大原则: 

定制护理

我们经验丰富的正畸医生为您量身定制治疗方案,帮助您实现完美笑容。凭借30多年的经验,我们采用先进技术,如隐适美、舌侧矫正和现代唇侧矫正器,为您提供个性化护理。相信我们的专家能够满足您的牙齿需求,带来最佳效果。 

技术与方法

我们采用尖端技术,提供精准高效的正畸护理。采用3D成像、计算机辅助设计、激光技术以及用于治疗颞下颌关节紊乱的肉毒杆菌注射,确保患者获得卓越的治疗效果、更高的舒适度和效率。 

便利服务

我们提供延长营业时间、在线咨询、无障碍设施以及充足的免费停车位。更可享受灵活的免息融资和多种付款方式:其中包括多类信用卡和支付平台。为您提供顺畅、无压力的体验是我们的首要任务。 

全面护理

我们的专业团队提供卓越的正畸护理。我们为复杂病例提供精准的综合治疗,协调所有预约,确保顺利过渡,带来最佳治疗效果。 

专业正畸治疗

作为领先的正畸专家,PacificWest牙科团队提供全面专业服务。温馨舒适的就诊环境,让您和家人宾至如归。凭借丰富经验,为您找到最合适解决方案,帮助解决各种牙齿问题。我们的目标是让每位患者拥有自信灿烂的笑容。了解我们的诊疗服务。 

Invisalign隐适美

Invisalign隐适美是一種效果出色的隐形矫正方案。與傳統矯正不同,隱視美矯正使用透明塑料矫正器,在矯正牙齒的過程中幾乎無法察覺有配戴矯正器。 

傳統牙套

PacificWest诊所提供多种类型的牙套,根据个人情况推荐最佳治疗方案。在汪正伦醫師和李建勳醫師的领导下,致力于为大温地区患者提供优质的正畸治疗服务 

舌侧托槽

舌侧托槽是安装在牙齿内侧表面的隐形正畸装置,不易被他人察觉。 “舌侧”指的是与舌头或上颚相连的牙面。 

颞下颌关节紊乱(TMD)

颞下颌关节紊乱可能严重影响生活质量。我们提供創新的疗法,结合先进的牙科和运动医学技术,有效缓解TMJ相关不适。 

睡眠呼吸終止症

阻塞性睡眠窒息症(OSA)是一种医学综合症,导致睡眠期间呼吸变得浅或停止。在北美,数百万成年人受该问题困扰。 

我们治疗哪些齒額矯正的问题呢?

我们深知每位患者都有独特的需求,我们擅长处理各种咬合不正问题,包括但不限于: 

牙列拥挤

牙列拥挤通常是由于牙弓的大小和牙齒的大小不批配所造成,导致牙齿无法正常排列,相互挤压、旋转和重叠。 

牙缝不齐

牙缝不齐是由于牙齿形状和大小不匹配,导致牙齿之间有额外空隙,无法对齐。 

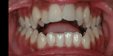
开咬合

开咬合是指前牙的上下牙齿,咬合时牙齿无法接触,導致無法正常咬合,也會影響發音。 

地包天咬合

地包天咬合是指下颌的牙齿比上颌的牙齿更为前突,通常是由于颌骨没有对齐引起的。 

暴牙

暴牙指上颌和牙齿过度外凸,或下颌和牙齿內縮,使得上唇和上颌牙齿呈现明显的突出。这种情况多发生在上下颌骨大小不匹配,尤其是下颌骨发育相对不足的情况下。 

卑诗省温哥华、素里地区的正畸专家

我们的牙科诊室拥有先进的设备,在现代化且专业的环境中为您提供一流的正畸、口腔修复、牙周病和口腔外科护理。患者的健康及满意是我们奋斗的目标,我们也致力于为所在社区做出积极贡献。您的专属牙医 汪医生和李医生是经验丰富的正畸医生,致力于为患者 

常见问题解答

为什么我需要看正畸医生?

牙齿不齐或咬合错位影响的不仅仅是您笑容的美观。严重拥挤的牙列更难以清洁,并可能造成更高的蛀牙和牙龈疾病风险。其他常见的咬合不正,例如反咬合与深覆牙合会导致牙齿的磨损不均匀以及对下颌关节造成额外压力。查看我们的 口腔正畸页面了解更多信息。

正畸医生是对移动牙齿的艺术抱有极大激情和热爱的牙医,他们在专科学校多花2-3年的时间来学习口腔正畸学的知识和技能。此外,他们需要通过严格的国家级考试(加拿大皇家牙医学院,全国牙科专业考试)才能成为加拿大的注册专科医生。最后,因为注册正畸医生通常会专攻口腔正畸的治疗,他们在诊断咬合不正和提供治疗方面比家庭牙医有更多的经验。

是否可以由家庭牙医治疗取决于咬合不正的复杂性以及家庭牙医的经验和培训。许多家庭牙医对口腔正畸学非常感兴趣,并将学习相关课程来获得牙套治疗的知识和经验。其实PacificWest牙科的正畸医生举办了许多学习俱乐部,以帮助我们的家庭牙医同事了解口腔正畸学。

您应该询问家庭牙医他/她在口腔正畸方面受过什么培训,他/她之前是否处理过您这样的病例,他/她是否有治愈病例的照片可以给您看。如果您有牙齿方面的任何疑问,我们将非常乐意为您提供参考意见! 

正畸治疗适合所有年龄段的人,无论长幼。
我们建议您从孩子7岁开始就带他来看牙医,这样我们可以监控他/她牙齿和下颌的生长情况,并留意潜在的问题。
点击这里了解我们采取的方法。

牙套通过轻轻推拉牙齿来引导它们对齐。在这个过程中真正起作用的是钢丝。把您的牙齿想象成一列火车;牙套是火车的轮子,钢丝则是轨道。钢丝引导牙齿往哪儿移。

当牙齿受压时,这些韧带被压扁,它们释放信号,要求细胞(破骨细胞)来移除它们周围的骨骼(这样它们可以不受挤压)。
当牙齿移动到新的位置后,另一种类型的细胞(成骨细胞)将在牙齿周围形成新骨骼来将其固定在新位置。
这就是牙套移动您牙齿的方式!

初次咨询时,我们希望了解您的需求并为您提供治疗选择。为此我们将需要您的医疗和牙科病史,并欢迎您提出任何问题!

这个问题太重要了!牙套的成本取决于几个因素,例如您病例的复杂程度,治疗时长以及您选择的矫治器类型(金属牙箍,透明牙箍,隐适美®或舌侧托槽)。因为要根据每个患者的需求定制不同的治疗计划,所以费用也不一样。

请放心咨询汪医生与李医生,他们将与您深入探讨费用问题。在PacificWest牙科集团,我们与患者一同确保治疗价格合理,付款方式灵活。 我们提供免息融资,并接受现金、支票、信用卡、万事达卡和借记卡。

保险的覆盖范围差别很大,因此我们建议您询问保险公司您的承保范围。在您第一次预约就诊之前我们将为您提供治疗的总费用,以便您确定保险报销之后的负担费用。

我们不会向您的保险公司直接提供账单,但会给您提供收据和发票,以便您顺利进行保险索赔。

欢迎体验Invisalign隐适美,瞬间拥有自信笑容!

扫描QR码,立即查看笑容变化:
1.拿起手机
2.打开摄像头
3.对准QR码
4.自拍
5.欣赏您的全新笑容! 

PacificWest资讯 

咬合不仅影响到颜面的不对称,还会影响到体态。而在接受牙齿矫正后,患者的平衡能力可以获得改善。
100%个性化的牙套,高效缩短牙齿矫正治疗时间。
又到了一年一度的报税季,可你还不知道,牙齿矫正也能抵税?

便利的诊所位置 

我们在素里和温哥华设有诊所,希望我们能成为您的专属口腔正畸诊所。患者可选择就近的诊所了解更多服务。 

预约咨询

欢迎致电604-558-0993(温哥华)或604-501-0993(素里)预约服务,或填写下方表格。

来诊所首次问诊免费,这样您既能充分了解自己的口腔问题,也能了解我们的服务及相应的治疗方案。 

Vancouver

Surrey